LA CBCT HÍBRIDA MÁS COMPLETA PARA EL IMAGING 2D/3D. IMÁGENES EN ALTA DEFINICIÓN QUE CAPTURAN LOS MÁS MÍNIMOS DETALLES.
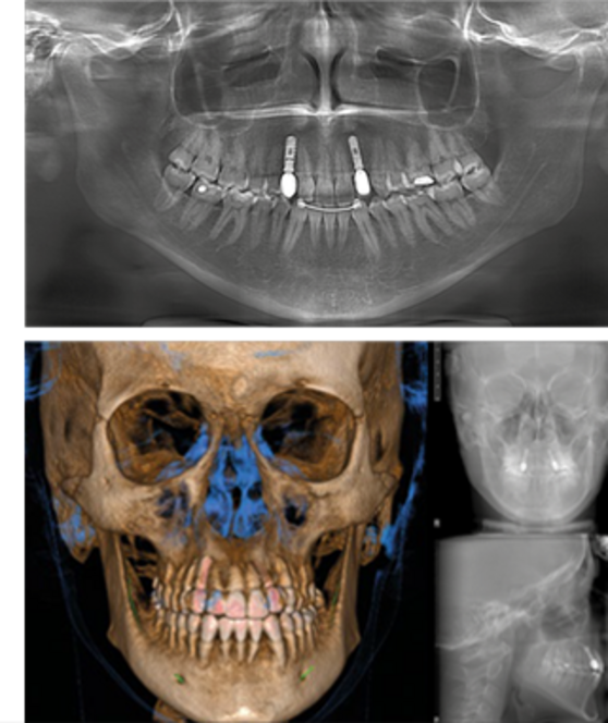
GO 2D/3D/CEPH ofrece imágenes de alta calidad en un solo dispositivo compacto, satisfaciendo una amplia gama de necesidades diagnósticas clínicas.
Con los servicios y equipos de X RAY SOLUTIONS nos facilita el servicio a nuestros pacientes en el día a día.
Adquirí un tomógrafo Giano HR y la empresa mostró una excelente predisposición desde el primer contacto, facilitando el financiamiento. La entrega del equipo fue rápida y el soporte remoto se ha caracterizado por ser preciso y eficaz.
Los equipos Newtom brindan una calidad exacta de toma de imágenes y permite optimizar el diagnostico de nuestros pacientes
Eugenio Espejo y General Torres
Cuenca
FREE PARKING
Celular: 0991629936 - 0991666015
E-Mail: info@xraysolutions.com.ec - ventas@xraysolutions.com.ec
Horario De Atención:
Lunes - Viernes:
8:30am - 18:30pm






Tres protocolos de examen preprogramados permiten identificar con eficacia el modo de adquisición más indicados.
GiANO HR ha sido diseñado para ofrecer el mejor confort y la máxima seguridad al paciente en cualquier situación, gracias a su elevada ergonomía y a sus tiempos de emisión extraordinariamente reducidos.













